Menu

Outstanding tooth replacement like no other.

Have you recently lost a tooth through an accident, sport or trauma? If so, I know how difficult it is to be left with a gap in your smile. I’m Dr Fezaan (Fez) Gatrad and here to help.

I provide beautiful, long-lasting and natural solutions to replace a missing tooth in the form of single-tooth dental implants.

A single state-of-the-art dental implant, coupled with a beautifully crafted crown, is sufficient to restore full functionality and aesthetics to any smile. It’s a great alternative to a conventional bridge or partial denture and represents the gold standard of modern dentistry.

Book a consultation

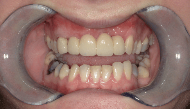
What is a single-tooth dental implant?

A dental implant is designed to fill a tooth gap and is the nearest thing we have to replicating a natural tooth.

Made from titanium, an implant is essentially a lightweight metal post or screw that anchors down into the jawbone. Over time, the biocompatible material physically integrates with the jawbone to become a natural part of the mouth. In doing so, it forms a super-strong structure that has little to no likelihood of movement, unlike partial dentures that can slip.

A single tooth implant consists of several different components that include:

  • The implant itself is a highly engineered metal post typically made from titanium.
  • The abutment is a connecting piece that joins the implant to the restored tooth.
  • The crown is a beautifully crafted restoration tooth usually made from porcelain.

The advantages of a single-tooth implant over a conventional bridge

A dental implant provides significant advantages over other forms of tooth restoration:

It’s a standalone restoration – Unlike conventional bridges, a dental implant doesn’t rely on nearby natural teeth for support. Therefore, the health of neighbouring teeth is not compromised.

Better preserved bone – Because a dental implant replaces a tooth root, the bone is better preserved. With a conventional bridge, some of the remaining bone will continue diminishing. Essentially, dental implants integrate with your jawbone, keeping it healthy and intact.

Longer lasting – A dental implant is designed to be long-lasting and can remain in the mouth indefinitely, whereas a conventional bridge will need replacing every 7 to 12 years.

How is the implant procedure performed?

Understandably, some people are concerned about the single-tooth dental implant procedure, but they needn’t be. I have devoted most of my career to implant rehabilitation and can assure patients that they are in safe and trusted hands.

Here’s what you can expect:

  • After much preplanning, your implant will be placed into the jaw using computer-guided surgical techniques. The surgical process is quick and is typically carried out under local anaesthetic.
  • Once the implant is in position, it takes around 12 weeks to fuse with the bone. I’ll be in regular touch to keep an eye on progress.
  • After the implant has fully stabilised in the jaw, a beautifully crafted crown is made to complete the look.
  • In the meantime, a temporary crown can be placed to fill the gap.
  • After 4 to 6 months, you’ll have a fully restored smile that not only looks good but allows you to eat without restriction.

If you want to replace a missing tooth or are fed up with an incomplete smile, come and talk to me about single-tooth dental implants today!

For more information regarding this treatment
Contact Me
Back to Treatments

FAQs

Do I need to restore a tooth gap?

There are several reasons why a tooth gap should not be left untreated. Firstly, once a tooth is lost, the bone surrounding the missing tooth diminishes. During the first six months, the jaw can lose up to 50% of its bone mass.

Secondly, neighbouring teeth will start to drift towards the gap, giving you an uneven smile; and finally, chewing can be more difficult. A dental implant will prevent all these problems while creating a flawless look.

I’m a nervous patient. Can you help?

Absolutely. I regularly deal with nervous patients. In addition to providing several anaesthesia options that allow you to relax during the procedure, I’ll also ensure excellent communication so you know what’s happening at any given time. If you do suffer from dental anxiety, tell me during our consultation, and I will create a bespoke treatment plan for you.

Can I get a dental implant via the NHS?

In most cases, dental implants are considered a cosmetic enhancement and are therefore not carried out under NHS guidelines.

Are dental implants available through finance?

The good news is that most dental clinics offer interest-free finance plans that allow you to spread the cost of treatment over several months. So, always ask during the initial consultation.

Ask Dr Gatrad

logo dark plain symbol1

Testimonials

“I brought my children in to see Dr Fezan, and...”

Alexandra

“I developed an anxiety over seeing a dentist well over...”

Gregg

“I would highly recommend Dr Fezaan Gatrad for a dental...”

Mary

“I have been a regular for many years, and Mr...”

Ron

“Amazing service. Dr Fez Gatrad is very calm and confident....”

Asif

View Testimonials
Treatment - Dr Fezaan Gatrad

Dental Implants

Treatment - Dr Fezaan Gatrad

Single-Tooth Implants

Treatment - Dr Fezaan Gatrad

Full Arch Rehabilitation

Treatment - Dr Fezaan Gatrad

Zygomatic Implants

Treatment - Dr Fezaan Gatrad

Bone Grafting

Treatment - Dr Fezaan Gatrad

Soft Tissue Grafting

Treatment - Dr Fezaan Gatrad

Dental Implants

Treatment - Dr Fezaan Gatrad

Single-Tooth Implants

Treatment - Dr Fezaan Gatrad

Full Arch Rehabilitation

Treatment - Dr Fezaan Gatrad

Zygomatic Implants

Treatment - Dr Fezaan Gatrad

Bone Grafting

Treatment - Dr Fezaan Gatrad

Soft Tissue Grafting

Treatments

Book a dental implant consultation with me

Contact Me View all treatments
treatments square texture shape1

My Locations

Dedicated to providing exceptional care for your patients.

Contact Me